First of all, I don’t think there’s a girl walking this earth any sweeter than Havyn. She is an absolute joy and a light to everyone around her. If you haven’t had the blessing of getting to know her and her amazing siblings, come hang out with us sometime. You’ll walk away smiling (and probably exhausted, too)!
Tuesday was a rough day. We started the morning with her first out-patient chemo infusion. She did relatively great. She freaked out a bit when they poked her finger and when they put the line into her port. Who wouldn’t, though!? She was quickly all smiles and we played games and watched movies while she received her medicine/poison. We met some amazing people. Two patients, Anna and Olivia, really stood out. Sweet girls that are AMAZING warriors. I hope our paths cross again. And a special thanks to our nurse, Lesa. It was great meeting you and I know we’ll be seeing a lot more of each other.
Good news is… that her blood counts are still looking great. That’s typical for a couple weeks in, but we’re grateful nonetheless. Also, somehow she hasn’t yet gotten sick from the THREE-DAY-LONG-104-FEVER that her little brother suffered through. He seems to be in the clear now and we’re praying, crossing fingers, and knocking on a variety of wooden surfaces hoping that Havyn won’t get sick.
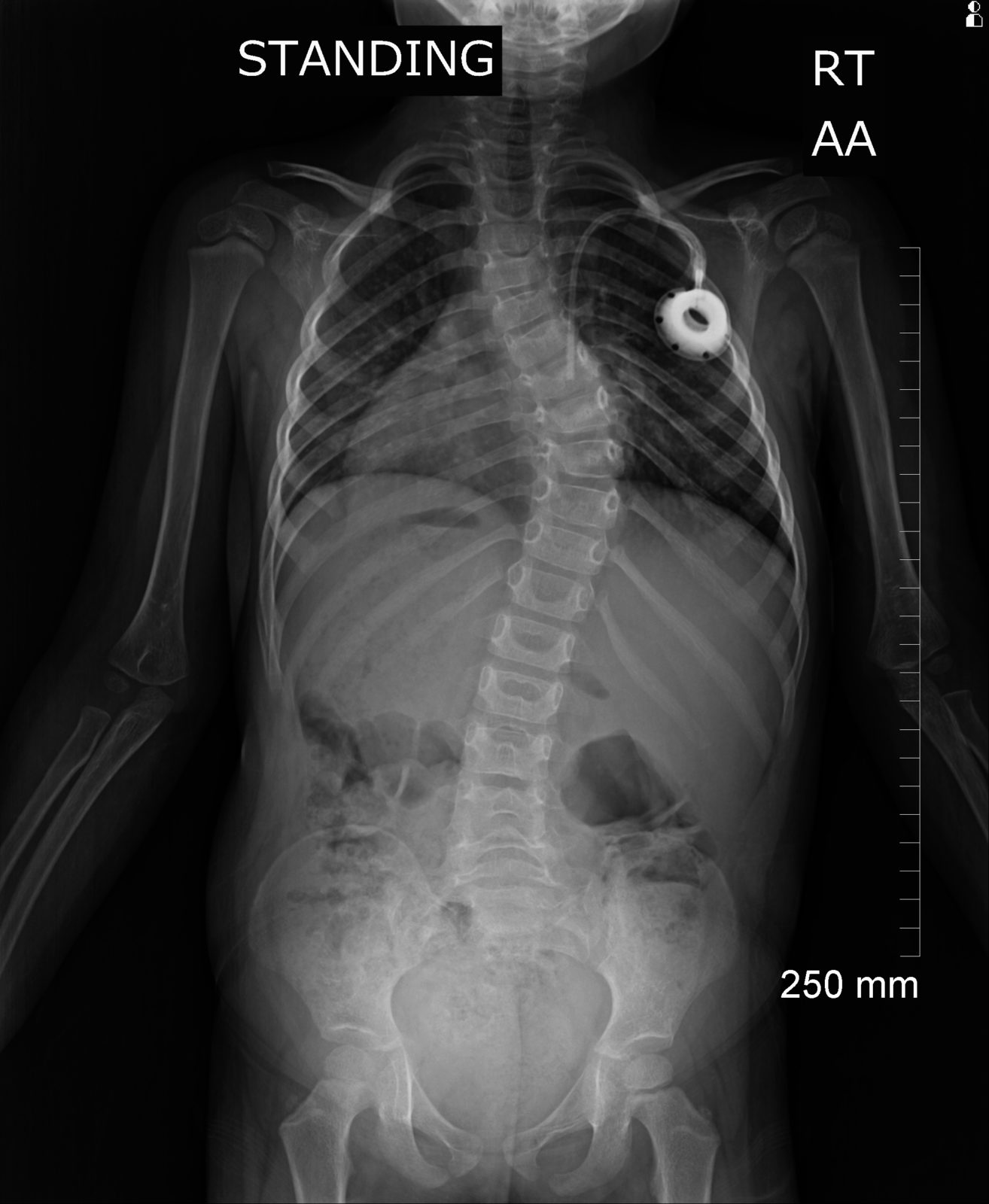
Ok… so the bad news. Scoliosis. Big time. You can see it in the xray. Scoliosis in measured in degrees. 0 is perfect. Up to 25 degrees they monitor and track it. 25-35 and it’s time to wear a brace. North of that and surgery is usually recommended. Havyn’s curve is measuring 46 degrees. The worst portion of the bend is in the same region as the spinal lesion we learned about a couple weeks ago.
We’re reeling a bit from that news. We knew she had it. We had no idea the severity. There is way more we don’t know than what we do know at this point. It’s our understanding that surgery is not an option during chemo. But the orthopedist said she wanted to speak with a bunch of other doctors to help advise us. She was fitted for a brace and we should see that in a few weeks.
In addition (and this is a long post… sorry) we received a call from Dr. Gutmann in St. Louis yesterday. Long story short… we’ve been eager to get to St. Louis to meet with their NF specialists. We were scheduled to head there in September. After reviewing her recent MRIs and xrays, Dr. Gutmann thinks that’s not soon enough. His words to us were, “you guys really need a quarterback. Mom and dad don’t need to be trying to juggle all of the specialists, information, and emotion. You should be mom and dad. Let us be your quarterback.” THANK YOU… THAT’S EXACTLY WHAT WE’VE BEEN SAYING!
We have several options for her. The closest two are Cincinnati (< 2 hrs away) and St. Louis (4 hrs away). Both are good options but for a number of reasons we chose St. Louis. I called Dr. Gutmann’s office back. I invited him to be our Tom Brady. (He is a Michigan grad… Go Blue!)
They are attempting to coordinate the right specialists so we can see everyone at one time. We are waiting a return call in the next days or weeks. We will drop whatever else we have in order to get her to St. Louis.
We are in a waiting and trusting game right now. Havyn’s proptosis is getting noticeably worse and the fairly rapid onset of the scoliosis has us worried. The future for Havyn remains very murky and uncertain. If we’re honest, though, isn’t that true for all of us? None of us know what tomorrow holds. You don’t know what will happen to you on the road as you drive home tonight. You don’t know what the next routine physical may reveal. You don’t know when you might receive a middle-of-the-night phone call with devastating news. We all have the opportunity each day whether we’ll live in fear or choose hope and joy. We’ve made our choice. We encourage you to do the same.
So our plan remains the same. Pray. Stay calm. Pray. Process info as we get it. Pray. Love our little girl every day. Pray some more. Thanks so much for joining us in this journey!

I could throw out a bunch of Christian-ese, etc, etc but I’ll just say this – hang in there. God is on the throne.
Thanks good friend. We’ll do exactly as you have said!
Thank God for the Steve and Tammys in the world, and for the Dr. Gutmanns. Havyn is blessed.
God bless you all! What an inspiration you are to MANY during this difficult journey.
“Amazing Grace” is playing on church bells across the street as I type this. What a wonderful reminder. Love, hugs and prayers ❤️??
Praying for all of you God’s peace and strength. As you both know my husband and I have been on this roller coaster for three years. But God has walked beside us and carried us too. I keep telling myself “trust in the Lord with all you heart and lean not on your own understanding”. I have to admit all days are not easy but I know My Lord, my Heavenly Father knows and understands that. It’s ok to be angry and cry some days. He is with us them too. I know God is with you and will get you all through this.
In God’s Love
Wanda Miller
I do not know Dr Gutmann but I Love him, and think he is an absolute genius! We put a team in place when we “got that call” many years ago and they really guided us through each step and while John got to be husband and Dad and I got to be Patient and Mom! It’s the best way and St Louis is a great choice! LMK if you need Pediatric RN help in the mean time! Melissa
Love and daily prayers from the Doyle family.
Karen
Steve and Tammy…..praying for your sweet Havyn and for you all. I know this is not something that you would’ve ever thought that you would go through. But, I know you both have such a strong faith and are pressing into God. But know if you need anything please don’t hesitate in asking.
Thx for sharing the update… Believing ?
God will bless you both for being so steadfast in Him and relying on Him during these trials. Your children are watching you, and you all are blessings to them as examples of what it looks like to struggle, and to humanly just hurt… But also how to overcome because you all have the blessing of the Holy Spirit inside you. Thank you for sharing. I am continuing to pray!
Our prayers are with you all.There is always a light at the end of the tunnel. The Lord always comes through. All our Love to you all. Call me if you need a shoulder to lean on!
Praying, a bit shook, a big faith that God is in control. As your needs for extra hands and Grams grows, let me know how I can serve. ??
Praising God for Dr. Gutmann!! And continuing to pray for you all. Here to help in any way you need!!
I read this post a little at a time, taking deep breaths and swallowing back tears. The place where pain and sorrow meet chosen joy. It’s beautiful.
Praying for you all. Love you.
“The place where pain and sorrow meet chosen joy. It’s beautiful.” Amen to that!
Hey Friend,
Thanks for your prayers and for keeping informed about our journey. We CAN’T walk this without the help of God’s faithful church!! We are simply humbled by the prayers, texts, meals, gifts, visits, and love everyone is pouring out on us. We are so grateful for what God is doing and is going to do through this journey. Much love!!! hug those sweet boys for me!! 🙂
Thank you for the updates. I love all the details!!!! Love you guys and praying for courage, healing and above all JOY in suffering!
Molly Dear,
Thank you!!! Thanks for having your friends praying for our family too! It truly means the world to know that God’s ears are being bombarded for Havyn!! We love you guys!!
Praying and so thankful you are sharing and let us walk the journey with you. Loving how God is building your team!
Praying and pressing in over this amazing girl and the whole family!
Love you so much!
In Him-
Suzanne
Havyn is constantly in my prayers. Thank you for sharing this journey with us, and please let us know if we can help in any way.
Lifting you guys up daily. Havyn is so Blessed to have you two as parents. I know you feel Blessed by being granted that role. God has this journey of yours in His hands and there are bigger things at work here that you may never fully see to completion. You guys are walking the walk and people are noticing. I fully believe you are advancing the Kingdom for His Glory. Loving you guys. Praying for Gods sustainment and direction. ?
Steve and Tammy,
I’m praying for you brave warriors, your family, and especially, sweet Havyn.
Steve –
We are praying for Havyn and for you and Tammy as you experience each step in the process.
The Gradys are praying!